Thakur Dental Centre



Thakur Dental CentreThakur Dental CentreNursing Accessories

Treatments Offered

Dentures

Orthodontics Treatment

Crowns & Bridges

Surgical Extractions

Gum Diseases

Root Canal Treatment

Dental Fillings

Dental X-Rays

Smile Dentistry

Home » Smile Dentistry

Smile Dentistry


Good oral health is central to your overall health and wellbeing. A good bite is essential for good nutrition. And your smile is one of your greatest natural assets. That’s why, we offer a comprehensive range of preventive, restorative and cosmetic dental procedures


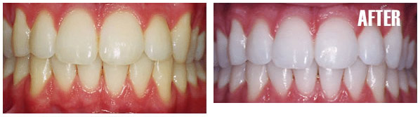
Teeth whitening
Healthy teeth that have yellowed with age or stained from coffee, red wine,paan or smoking usually respond well to whitening we have in–chair whitening system



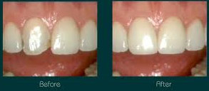
Porcelain Veneers

Dental veneers (sometimes called porcelain veneers or dental porcelain laminates) are wafer-thin, custom-made shells of tooth-colored materials designed to cover the front surface of teeth to improve your appearance. These shells are bonded to the front of the teeth changing their color, shape, size, or length.

Dental veneers can be made from porcelain or from resin composite materials. Porcelain veneers resist stains better than resin veneers and better mimic the light reflecting properties of natural teeth. Resin veneers are thinner and require removal of less of the tooth surface before placement. You will need to discuss the best choice of veneer material for you with your dentist.





Porcelain Crown
Porcelain crowns have a wide variety of uses, including, but not limited to – teeth lightening, gap narrowing, fix teeth that stick out, reduce crowding in the mouth. Their versatility means that they are used as a fix for a lot of potential problems that patients may be having.



Apart from fixing tooth problems, they can also be used to improve the outward appearance of the teeth. For those that are insecure about the appearance of their teeth or their smile, porcelain crowns can be a one-fix-for-all-problems solution.

To fit the crowns, a thin layer is shaved off teeth that are to receive treatment, and this prepares them for the crowns. On the patient’s first visit of the treatment a mould is taken of their teeth in order to get the perfect shape for the next session. The crowns are then bonded onto the teeth using a bonding material of some sort. Once the bonding has taken place, which will normally take one session at the dentist, the patient’s can eat as normal.

Crowns are very popular because they have an excellent history of fixing dental issues, and their track record is proven to work in all countries in the world. Up until quite recently, crowns were bonded to the tooth using a metal-based framework so that the crown could withstand the pressures involved with daily chewing of food in the mouth. Today, most of the time the metal framework is not required, since modern technology has advanced up to the point where pure porcelain is strong enough even for use on hard working molar teeth. The metal framework had an issue – after a few years the gum line of a patient would recede with age, revealing an ugly grey line at the top of the crowned tooth. Due to the color of the metal showing through, it was difficult to make crowned teeth look natural for more than a few years.

The advantage of using pure porcelain is that the crowns are near identical in color to the existing colors of the patient’s teeth, making it nigh on impossible for others to discern a crowned tooth from a real one. A dentist will match the color of the crown to the tooth color already in the mouth, and then they will place an order with a lab to create the tooth with the perfect color and shape, taken from the previously mentioned mold, and patients are very happy with the results, and their new smile.












©Thakur Dental Centre (2011-12) , All Rights Reserved