Thakur Dental Centre



Thakur Dental CentreThakur Dental CentreNursing Accessories

Treatments Offered

Dentures

Orthodontics Treatment

Crowns & Bridges

Surgical Extractions

Gum Diseases

Root Canal Treatment

Dental Fillings

Dental X-Rays

Smile Dentistry

Home » Dental X-Rays

Dental X-Rays


There are two main types of dental X-rays: intraoral (meaning the X-ray film is inside the mouth) and extraoral (meaning the X-ray film is outside the mouth).


Intraoral X-rays
Intraoral X-rays are the most common type of dental X-ray taken. These X-rays provide a lot of detail and allow your dentist to find cavities, check the health of the tooth root and bone surrounding the tooth, check the status of developing teeth, and monitor the general health of your teeth and jawbone.



Types of Intraoral X-Rays

There are several types of intraoral X-rays, each of which shows different aspects of teeth.
• Bite-wing X-rays show details of the upper and lower teeth in one area of the mouth. Each bite-wing shows a tooth from its crown to about the level of the supporting bone. Bite-wing X-rays are used to detect decay between teeth and changes in bone density caused by gum disease. They are also useful in determining the proper fit of a crown (or cast restoration) and the marginal integrity of fillings.

• Periapical X-rays show the whole tooth -- from the crown to beyond the end of the root to where the tooth is anchored in the jaw. Each periapical X-ray shows this full tooth dimension and includes all the teeth in one portion of either the upper or lower jaw. Periapical X-rays are used to detect any abnormalities of the root structure and surrounding bone structure.

• Occlausl X-rays are larger and show full tooth development and placement. Each X-ray reveals the entire arch of teeth in either the upper or lower jaw.

Extraoral X-rays
Extraoral X-rays show teeth, but their main focus is the jaw and skull. These X-rays do not provide the detail found with intraoral X-rays and therefore are not used for detecting cavities or for identifying problems with individual teeth. Instead, extraoral X-rays are used to look for impacted teeth, monitor growth and development of the jaws in relation to the teeth, and to identify potential problems between teeth and jaws and the temporomandibular joint (TMJ, see document, "Temporomandibular disorders" for more information) or other bones of the face.




Types of Extraoral X-Rays
There are several types of extraoral X-rays that your dentist may wish to take.
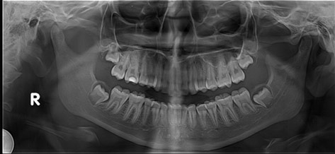
• Panoramic X-rays show the entire mouth area -- all the teeth in both the upper and lower jaws -- on a single X-ray. This type of X-ray is useful for detecting the position of fully emerged as well as emerging teeth, can identify impacted teeth and aid in the diagnosis of tumors.

• Tomograms show a particular layer or "slice" of the mouth while blurring out all other layers. This type of X-ray is useful for examining structures that are difficult to clearly see -- for instance, because other structures are in very close proximity to the structure to be viewed.

• Cephalometric projections show the entire side of the head. This type of X-ray is useful for examining the teeth in relation to the jaw and profile of the individual. Orthodontists use this type of X-ray to develop their treatment plans.

• Sialography involves visualization of the salivary glands following the injection of a dye. The dye, called a radiopaque contrast agent, is injected into the salivary glands so that the organ can be seen on the X-ray film (the organ is a soft tissue that would not otherwise be seen with an X-ray). Dentists might order this type of test to look for salivary gland problems, such as blockages or Sjogren's syndrome.

• Computed tomography, otherwise known as CT scanning, shows the body's interior structures as a three-dimensional image. This type of X-ray, which is performed in a hospital rather than a dentist's office, is used to identify problems in the bones of the face











©Thakur Dental Centre (2011-12) , All Rights Reserved