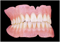
COMPLETE DENTURES
This is the most economic and most traditional method of tooth replacement. Dentures are removable objects that simulate the look and function of the tooth and its surrounding tissue. Most dentures are constructed with acrylic resins along with some composite materials. However patient can chose from a variety of options:
- Traditional plastic denture
- Traditional plastic denture with a metal framework to make the denture strong, light and of course biocompatible.
- Flexible denture(valplast)
- Flexible denture(valplast) combined with metal framework
There are two major types of dentures. The full denture replaces an entire jaw’s dentition, while a partial denture only replaces multiple or single teeth where there are still healthy teeth present. A partial denture also serves as a spacer to prevent the living teeth from shifting position.
Most patients of full dentures are in their later years and have lost most of their teeth. Patients of partial dentures are usually people who have lost a tooth to gum disease or injury. All patients receiving dentures find that their chewing improves, their oral hygiene becomes easier, and their speech clears up. On the outside, a denture can drastically improve your smile.
Dentures are specifically made for each patient’s unique anatomy. Initially they will feel awkward, no matter how well they may fit you. The fact remains that it is not a living part of your mouth and it will feel foreign to you. However, after a short period of adjustment most people don’t even notice that they’re wearing the dentures anymore.
Regular checkups with your dentist are encouraged in order to track changing conditions in your mouth. Should your teeth shift or your bones change shape with time, you’ll need a new set. Dentures have been around for a long time and are a proven way to replace lost teeth. If you require dentures please contact a dentist for a consultation.
THE PLASTIC REMOVABLE PARTIAL DENTURE

This is the least expensive of all the removable partial dentures. These dentures are generally used for temporary or intermediary purpose until the final prosthesis is made. Still yet we find many people keep this type of appliance for many, many years, just like permanent ones because as long as they are properly maintained, they look outwardly as good as the more expensive permanent appliances. The one pictured above replaces 4 missing teeth, leaving spaces for 7 natural teeth. Two of the natural teeth are clasped with wrought wire clasps which are cured into the structure of the denture base.
The pink material of the denture base is hard plastic and the same material used to make complete dentures. The main single advantage to this type of RPD is the cost. Also the new teeth and new denture base can easily be added to an existing treatment RPD. These are frequently fabricated even if the remaining teeth have existing decay or periodontal disease and their prognosis is doubtful. If later in the course of treatment some of the existing natural teeth are extracted for any reason, new false teeth can be added quickly to the partial, maintaining the patient's appearance.
Another common and infect more important use of these appliances is as an "immediate partial denture". This means that the appliance can be made before the teeth are removed, and inserted immediately after the extraction of the planned teeth so that the patient is never without teeth. This is of special help when anterior teeth are to extracted and patient wants to return back to his/her normal routine immediately.
However in spite of these advantages they have a number of disadvantages too.
They are basically plastic and due to their irregular shape, these partials tend to break frequently, especially those made for the lower arch. (Full dentures are more regular in shape and tend to be fairly strong as a result.)
These appliances are less stable compared to cast partials. Also cases of allergy to this material have also been reported.
As the gums resorb, the false teeth tend to sink below their original level making it necessary to reline them frequently, and sometimes even to reset the teeth which adds to their expense.
They are most frequently retained with wire clasps. These are frequently unsightly due to the limitations that pertain to their placement.
CAST METAL REMOVABLE PARTIAL DENTURE
These Removable Partial Dentures are cast metal frameworks made of chrome cobalt.These frameworks are cast to fit the teeth .These are cast very thin and are much less likely to break than the all plastic variety. For the same reason they are much less noticeable to the tongue.
The teeth have to be altered slightly beforehand in order that the partial denture can rest upon them without interfering with the way the patient bites the teeth together. Since they sit on the teeth, as well as being attached to them, they are extremely stable and retentive.
The metal framework does not contact the gums. Thus, as the gums resorb, this type of partial does not sink with them and rarely requires relines.
Advantages - Rarely breaks. Can also be used for complete denture cases where breakage is a frequent problem.
- It is made very thin, so less noticeable to tongue
- More stable and retentive
However a major drawback is the visibility of metal clasps which might be objectionable to some patients.
FLEXIBLE DENTURES (VALPLAST) 
The most recent advance in dental materials has been the application of flexible materials for the fabrication of dental appliances. This material generally replaces the metal, and the pink acrylic denture material used to build the framework for standard removable partial dentures Flexible partial dentures are the comfortable, beautiful, and affordable choice.
The flexibility, combined with strength and light weight, provides total comfort and great looks! It is nearly unbreakable, is colored pink like the gums, can be built quite thin, and can form not only the denture base, but the clasps as well.
The preparation is relatively simple because your natural teeth don't need to be altered in any way. The Valplast® partial is virtually invisible because there are no metal clasps and the material itself blends with the tissue in your mouth so that the only thing that shows is your beautiful smile.
Valplast® appliances are very durable and are designed to give long term performance under normal usage. Small accidents such as dropping the appliance in the sink or on the floor will not damage the Valplast®.
Valplast Key Benefits are :
- Retention - flexes into a retentive position, below the undercut.
- Comfort - thin, lightweight and flexible.
- Esthetics-pink shades allow natural tissue tone to appear through material.
- Strength - clinically unbreakable, more durable than acrylic and won't absorb stains or odors.
- Ease - no tooth or tissue preparation is required so you can offer patients a conservative and pain-free solution.
Valplast Indications :
- Allergies to conventional denture material
- History of partial frame breakage
- Alternative to implants or fixed products
THE COMBINATION OF CAST PARTIAL AND VALPLAST PARTIAL DENTURE
A good alternative to the all-Valplast or a cast partial partial denture is one made with a combination cast metal framework with valplast clasps. This has the advantage of being tooth supported and also having gum colored plastic clasps like the Valplast partial.
This combination of metal framework and plastic clasp eliminates most of the difficulty of recurrent sore spots, since the framework resists movement and pressure from the clasps, while having the benefit of nearly invisible clasps.
How to keep your plate clean
You must brush the plate and your teeth after meals using your usual toothbrush and toothpaste. It is important that you brush the roof of your mouth as well as your teeth. Take the plate out to clean it and brush both sides thoroughly. If you are away from home and cannot brush your teeth after eating, remove the plate and rinse with water.
Also rinse your mouth to remove any food before wearing it again. Occasionally you may wish to freshen up the plate by soaking it in a mouthwash or using a denture cleaning agent (egSterident). Please do not place the plate in bleach or boiling water.
Handle the plate with CARE
- Use the special plastic box to safely store the plate while it is not being worn.
- Do not leave the plate in the vicinity of pets, young children or napkins.
- Take care with the small clasps and springs as these may get caught in clothing and become distorted.
- Please take the plate in and out of the mouth as directed, usually using the clasps around the back teeth.
- Do not get into the habit of constantly clicking the plate on and off the teeth with your tongue. This will loosen the clasps and eventually weaken the wires